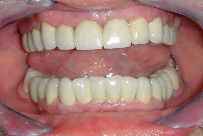
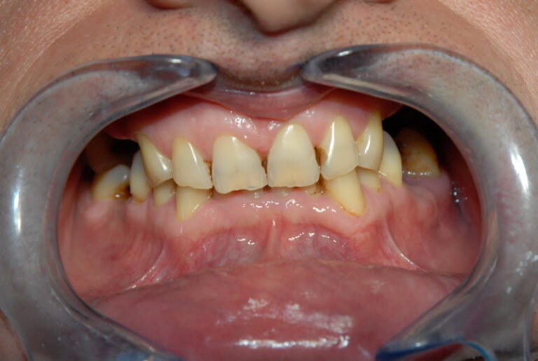
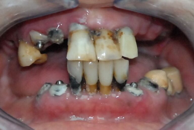
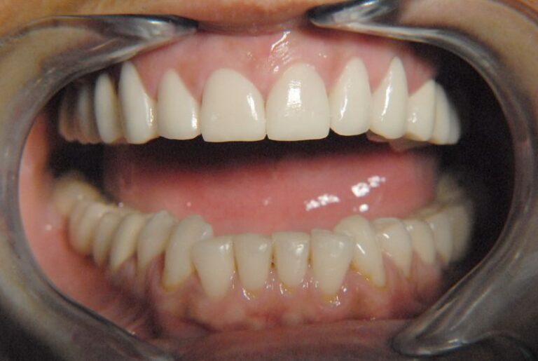
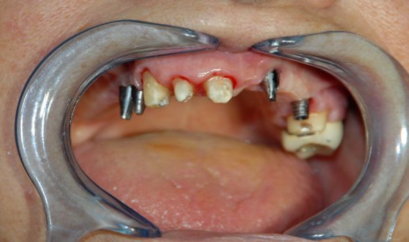
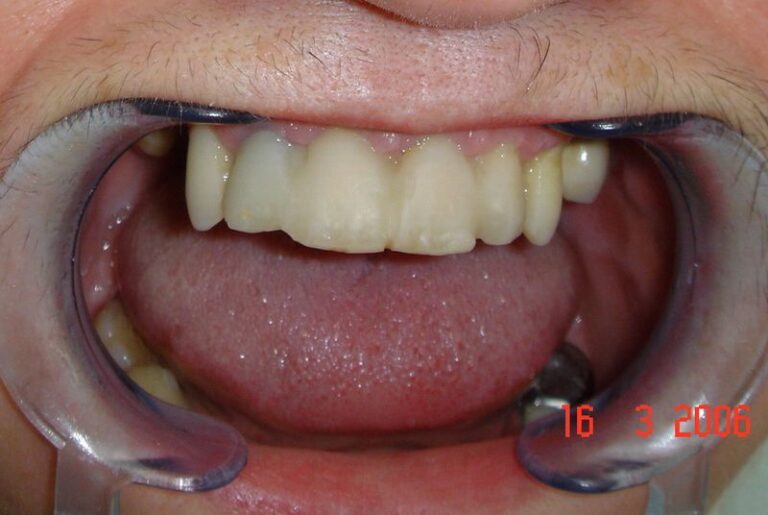
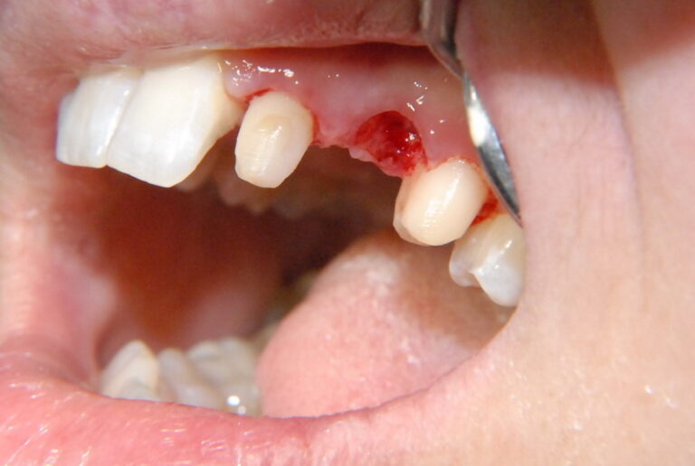
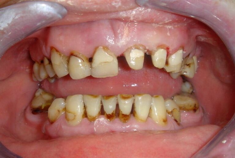
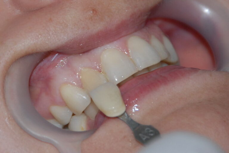
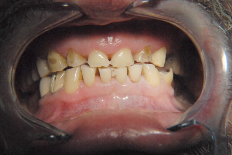
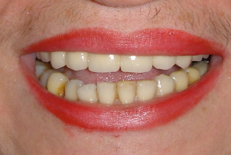
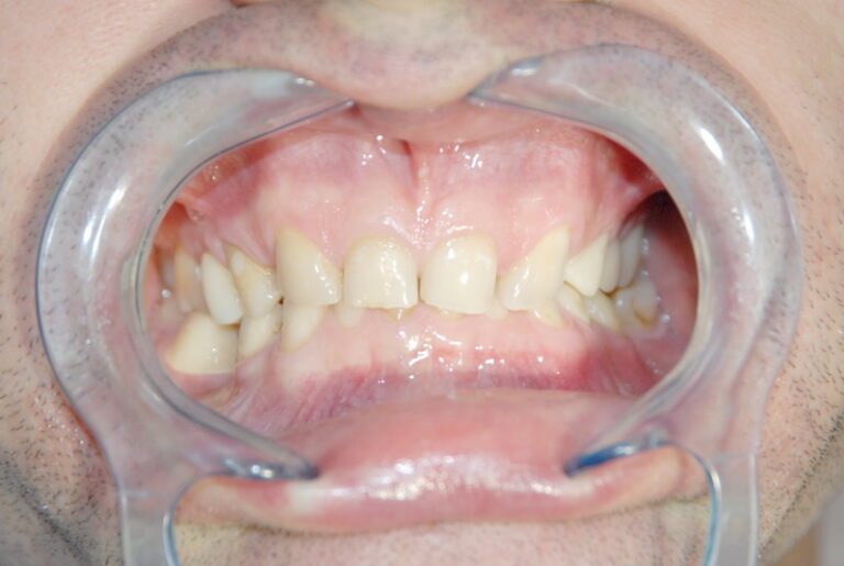
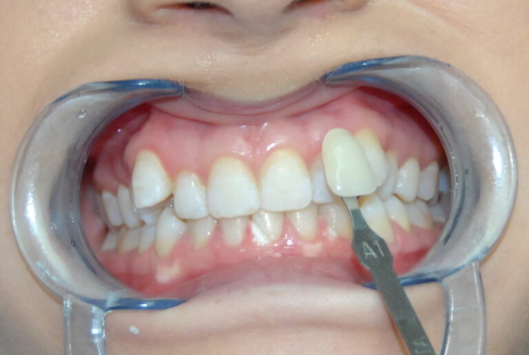
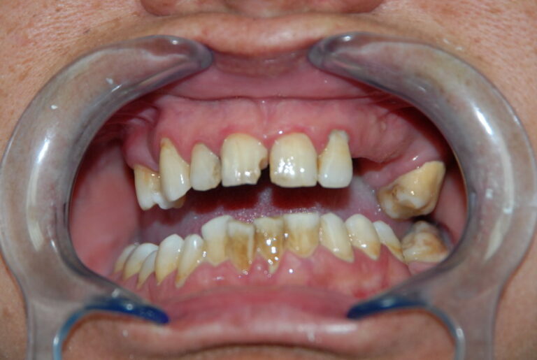
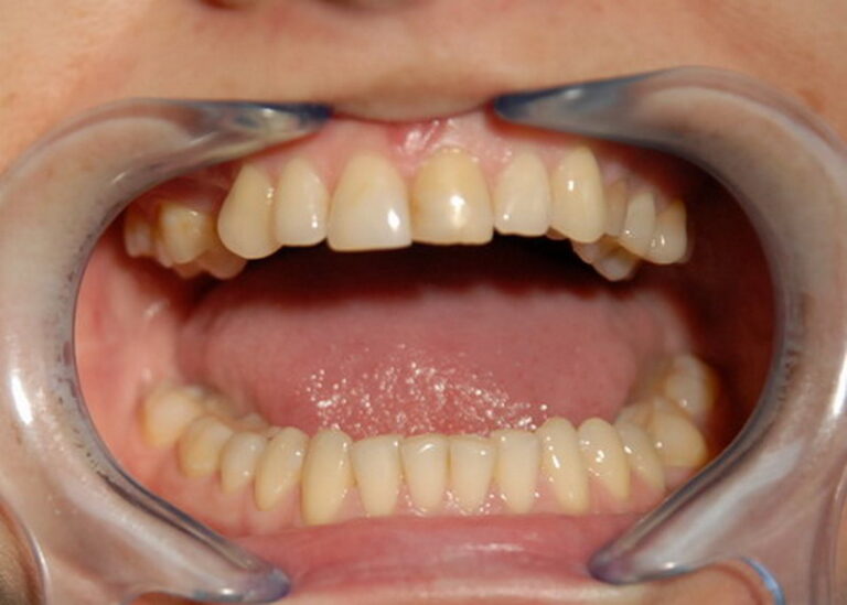
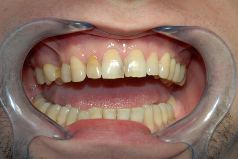
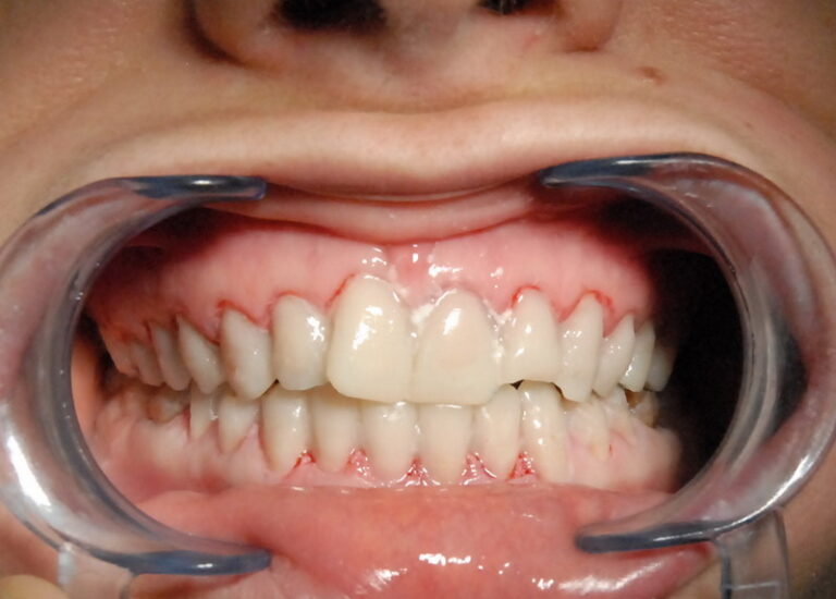
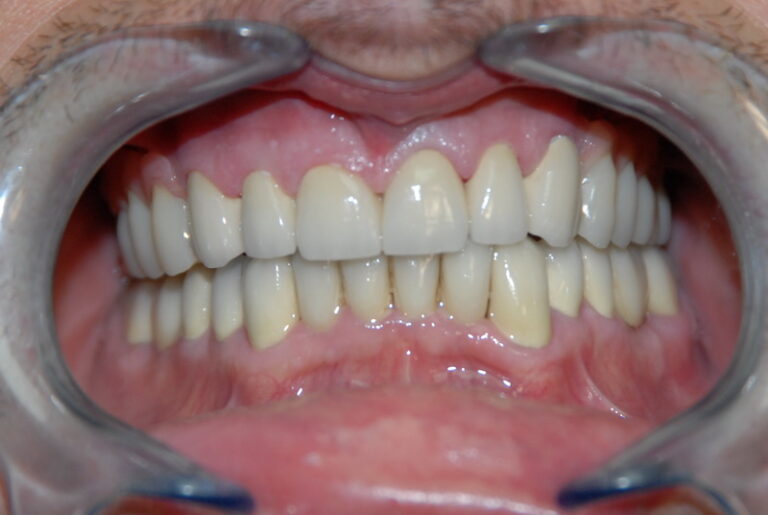
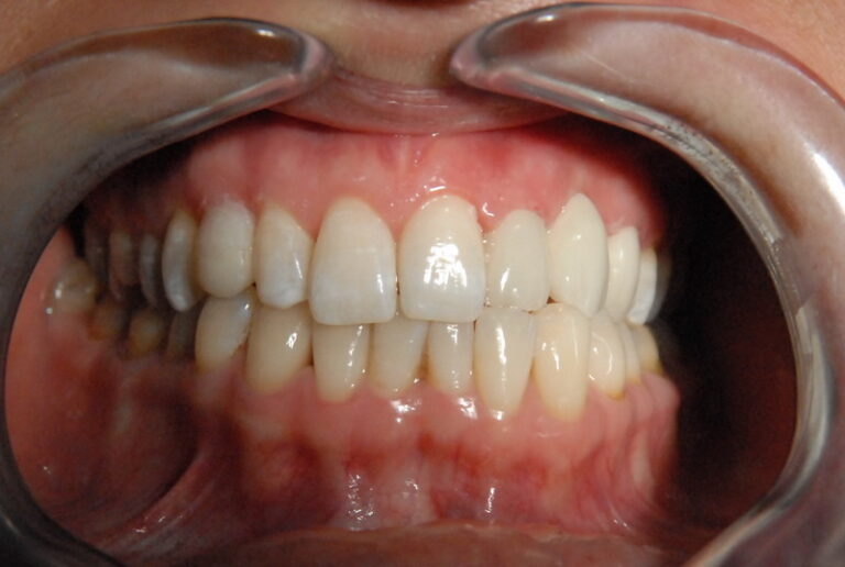
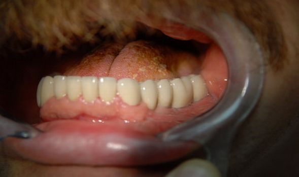
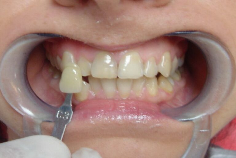
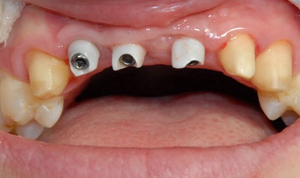
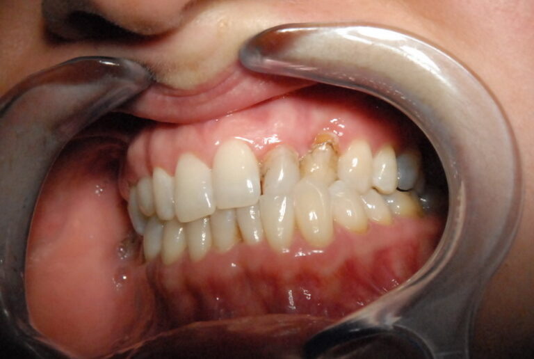
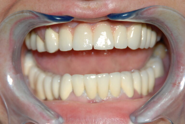
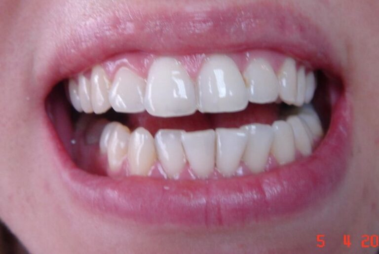
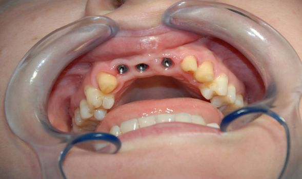
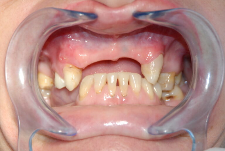
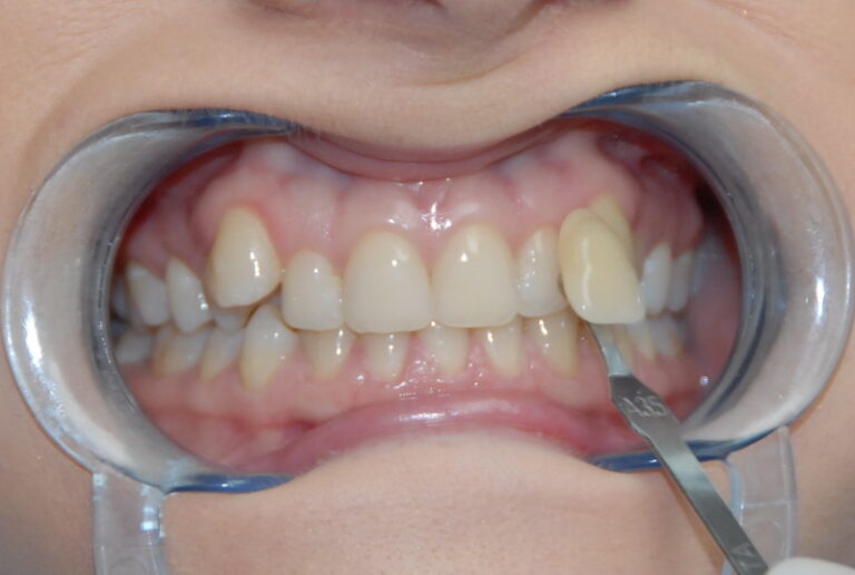
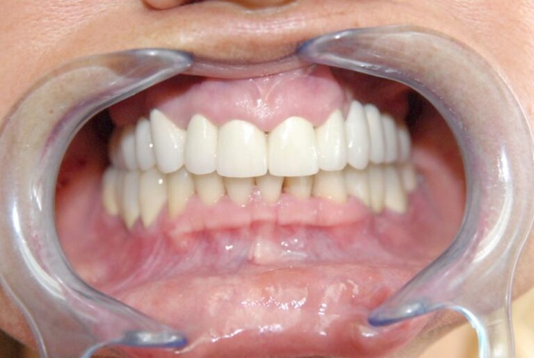
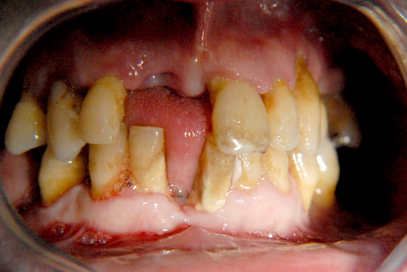
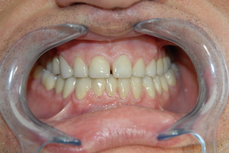
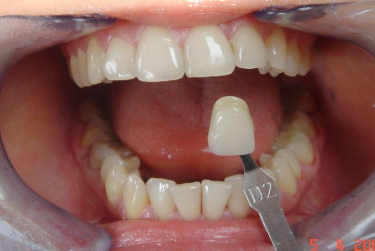
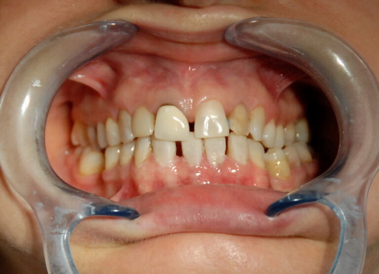
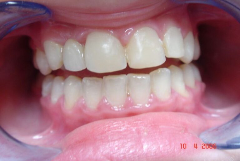
Zdjęcia mają charakter demonstracyjny. Zaprezentowane efekty leczenia wystąpiły u tego konkretnego pacjenta, a wyniki leczenia mogą się różnić w zależności od indywidualnych cech, schorzeń pacjenta.
Sprawdź opinie o Dolnośląskim Centrum Implantologii Stomatologicznej

Pełen profesjonalizm! Od ręki przyjęto mnie na wizytę i od razu wdrożono leczenie po tym jak ooprzrdni stomatolog dopuścił się wielu błędów. Tu w końcu czuję,że zajął się mną ktoś z doświadczeniem i odpowiednia wiedzą! Dziękuję!
opinia Google
Leczyłam się 18 lat w gabinecie Pani dr Kalmuk, mąż i dzieci również. Pani dr Bożenka, to profesjonalistka a do tego pełna empatii i bardzo przyjazna.
opinia Google
Podejście do pacjenta i profesjonalizm godny polecenia. Jestem niezmiernie zadowolony z efektów leczenia i bez cienia wątpliwości rozpoczynam leczenie swoich dzieci. Polecam!
opinia Google
Może i cenowo wydawać się, że wyższa półka. Ale za fachowość, sprzęt i jakość naprawdę warto zapłacić. Doskonała wiedzą, wieloletnie doświadczenie. !!!
opinia Google

Centrum stomatologii
pon, śr, czw 11-20
wt 9:30-20
pt 9-20

Umów wizytę
Napisz do nas
Zapraszamy do odwiedzenia naszej kliniki, lub do kontaktu poprzez formularz kontaktowy lub telefon. Zachęcamy do zadawania pytań i do umawiania się na wizytę.

Umów wizytę
Napisz do nas
Zapraszamy do odwiedzenia naszej kliniki, lub do kontaktu poprzez formularz kontaktowy lub telefon. Zachęcamy do zadawania pytań i do umawiania się na wizytę.